切换至 "中华医学电子期刊资源库"

中华产科急救电子杂志 ›› 2016, Vol. 05 ›› Issue (01) : 60 -62. doi: 10.3877/cma.j.issn.2095-3259.2016.01.016

所属专题: 经典病例 经典病例 文献

病例报告

双胎输血综合征产前干预二例
黄炜然1, 陈敏1,()   
  1. 1. 510150 广州医科大学附属第三医院产前诊断科
  • 收稿日期:2015-10-11 出版日期:2016-02-18
  • 通信作者: 陈敏

Prenatal treatment for twin-twin transfusion syndrome: two cases reports

Weiran Huang1, Min Chen1()   

  • Received:2015-10-11 Published:2016-02-18
  • Corresponding author: Min Chen
引用本文:

黄炜然, 陈敏. 双胎输血综合征产前干预二例[J/OL]. 中华产科急救电子杂志, 2016, 05(01): 60-62.

Weiran Huang, Min Chen. Prenatal treatment for twin-twin transfusion syndrome: two cases reports[J/OL]. Chinese Journal of Obstetric Emergency(Electronic Edition), 2016, 05(01): 60-62.

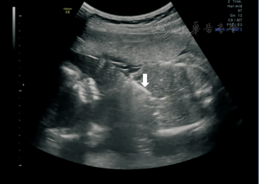
图1 病例2患者超声引导下射频消融减胎术图片。箭头所指为射频消融针,射频消融位点为供血胎脐带插入腹内侧段
[1]
Zhao DP, Cambiaso O, Otano L, et al. Veno-venous anastomoses in twin-twin transfusion syndrome: A multicenter study[J]. Placenta, 2015, 36(8):911-914.
[2]
Baud D, Windrim R, Keunen J, et al. Fetoscopic laser therapy for twin-twin transfusion syndrome before 17 and after 26 weeks′ gestation[J]. Am J Obstet Gynecol, 2013, 208(3):197.e191-e197.
[3]
Gonsoulin W, Moise KJ, Kirshon B, et al. Outcome of twin-twin transfusion diagnosed before 28 weeks of gestation[J]. Obstet Gynecol, 1990, 75(2):214-216.
[4]
Sueters M, Middeldorp JM, Lopriore E, et al. Timely diagnosis of twin-to-twin transfusion syndrome in monochorionic twin pregnancies by biweekly sonography combined with patient instruction to report onset of symptoms[J]. Ultrasound Obstet Gynecol, 2006, 28(5):659-664.
[5]
Lewi L, Gucciardo L, Van Mieghem T, et al. Monochorionic diamniotic twin pregnancies: natural history and risk stratification[J]. Fetal Diagn Ther, 2010, 27(3):121-133.
[6]
De Paepe ME, Shapiro S, Greco D, et al. Placental markers of twin-to-twin transfusion syndrome in diamniotic-monochorionic twins: A morphometric analysis of deep artery-to-vein anastomoses[J]. Placenta, 2010, 31(4):269-276.
[7]
Senat MV, Deprest J, Boulvain M, et al. Endoscopic laser surgery versus serial amnioreduction for severe twin-to-twin transfusion syndrome[J]. N Engl J Med, 2004, 351(2):136-144.
[8]
Crombleholme TM, Shera D, Lee H, et al. A prospective, randomized, multicenter trial of amnioreduction vs selective fetoscopic laser photocoagulation for the treatment of severe twin-twin transfusion syndrome[J]. Am J Obstet Gynecol, 2007, 197(4):396.e391-396.e399.
[9]
Diehl W, Diemert A, Hecher K. Twin-twin transfusion syndrome: treatment and outcome[J]. Best Pract Res Clin Obstet Gynaecol, 2014, 28(2):227-238.
[10]
Quintero RA. Twin-twin transfusion syndrome[J]. Clin Perinatol, 2003, 30(3):591-600.
[11]
Oloyede OA, Iketubosin F, Bamgbopa K. Spontaneous fetal reduction and early pregnancy complications in multiple pregnancies following in vitro fertilization[J]. Int J Gynaecol Obstet, 2012, 119(1):57-60.
[12]
Rossi AC, D′Addario V. Umbilical cord occlusion for selective feticide in complicated monochorionic twins: a systematic review of literature[J]. Am J Obstet Gynecol, 2009, 200(2):123-129.
[13]
Khalil A, Rodgers M, Baschat A, et al. ISUOG Practice Guidelines: role of ultrasound in twin pregnancy[J]. Ultrasound Obstet Gynecol, 2016, 47(2):247-263.
[14]
Van Mieghem T, Klaritsch P, Done E, et al. Assessment of fetal cardiac function before and after therapy for twin-to-twin transfusion syndrome[J]. Am J Obstet Gynecol, 2009, 200(4):400.e401-400.e407.
[15]
Moon-Grady AJ, Rand L, Lemley B, et al. Effect of selective fetoscopic laser photocoagulation therapy for twin-twin transfusion syndrome on pulmonary valve pathology in recipient twins[J]. Ultrasound Obstet Gynecol, 2011, 37(1):27-33.
No related articles found!
阅读次数
全文


摘要


AI


AI小编
你好!我是《中华医学电子期刊资源库》AI小编,有什么可以帮您的吗?