切换至 "中华医学电子期刊资源库"

中华产科急救电子杂志 ›› 2023, Vol. 12 ›› Issue (01) : 54 -56. doi: 10.3877/cma.j.issn.2095-3259.2023.01.012

病例报告

妊娠合并坏疽性阑尾炎致感染性休克、足月顺产一例
杨君丽, 贺芳()   
  1. 510150 广州医科大学附属第三医院妇产科 广州重症孕产妇救治中心 广东省产科重大疾病重点实验室
  • 收稿日期:2022-05-31 出版日期:2023-02-18
  • 通信作者: 贺芳

Pregnancy complicated with gangrenous appendicitis causing septic shock and full-term vaginal delivery: a case report

Junli Yang, Fang He()   

  • Received:2022-05-31 Published:2023-02-18
  • Corresponding author: Fang He
引用本文:

杨君丽, 贺芳. 妊娠合并坏疽性阑尾炎致感染性休克、足月顺产一例[J/OL]. 中华产科急救电子杂志, 2023, 12(01): 54-56.

Junli Yang, Fang He. Pregnancy complicated with gangrenous appendicitis causing septic shock and full-term vaginal delivery: a case report[J/OL]. Chinese Journal of Obstetric Emergency(Electronic Edition), 2023, 12(01): 54-56.

患者32岁,孕3产1,因"停经30+6周,右侧腹痛11 d,发热1+ d,头痛半天"于2021年9月15日转诊入广州医科大学附属第三医院。患者末次月经2021年2月11日,预产期11月18日,孕期定期产检,未见异常。9月4日晚(孕29+周)患者进食自炒米粉、油炸花生米后出现右上腹部疼痛,呈持续性,中度,伴呕吐胃内容物2次,非喷射状,无畏寒、发热、腹泻等不适,无阴道流血、流液,自觉胎动如常,右上腹部疼痛逐渐转为全腹痛,遂于外院急诊入院,查白细胞13.9×109/L,中性粒细胞百分数(neutrophil percentage,NEU%)74.1%,血红蛋白116 g/L,行产科超声、泌尿系及阑尾超声检查未见异常,考虑妊娠合并急性阑尾炎?9月5日至12日予头孢曲松2 g每天1次抗感染治疗,期间患者自觉腹痛好转,9月9日复查阑尾超声未提示异常,12日复查感染指标较前升高,遂13、14日改用哌拉西林他唑巴坦1 g(1次/12 h)抗感染治疗,14日患者首次出现发热,体温最高39.5 ℃,伴寒战,持续约20 min,予布洛芬处理后体温逐渐下降,再次复查阑尾超声未提示异常,15日患者开始头痛,呕吐胃内容物1次,测体温35.7 ℃,血压78/48 mmHg(1 mmHg=0.133 kPa),脉搏85次/min,呼吸22次/min。查体再次出现右下腹压痛,考虑感染性休克,因病情危重,予补液、去甲肾上腺素升压等对症处理同时转诊至我院。患者既往体健,否认高血压、糖尿病等慢性病史;2012年孕足月顺产一胎,2018年孕6+月因"胎儿肾积水、羊水过少"行引产术。

图1 妊娠合并坏疽性阑尾炎致感染性休克患者转诊前后及术后WBC、NEU%、Hb和PCT变化情况注:WBC:白细胞;NEU%:中性粒细胞百分数;Hb:血红蛋白;PCT:降钙素原
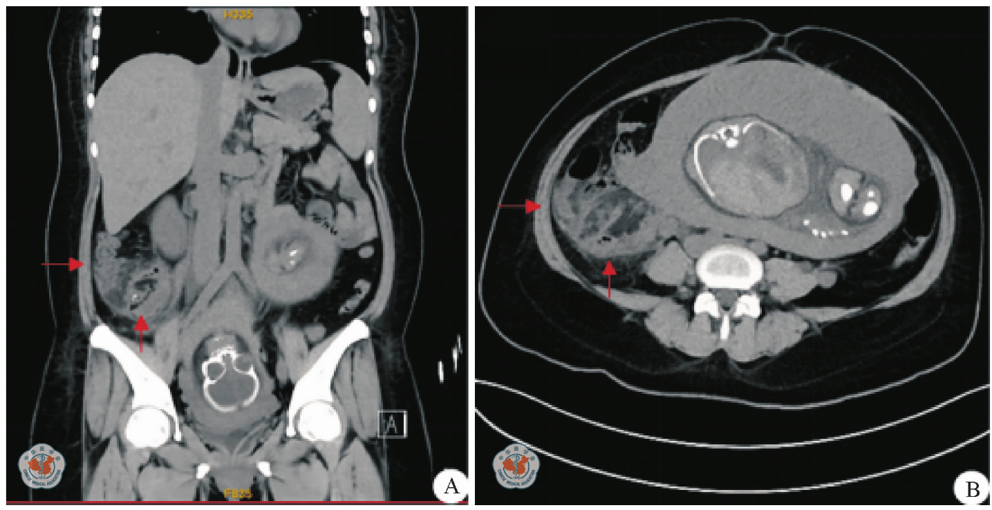
图2 妊娠合并坏疽性阑尾炎致感染性休克患者2021年9月15日(孕30+6周)腹部CT图。A:矢状面,B:横断面(箭头所示为化脓阑尾及周围渗出)
[1]
Tinoco-Gonzalez J, Rubio-Manzanares-Dorado M, Senent-Boza A, et al. Acute appendicitis during pregnancy: differences in clinical presentation, management, and outcome [J]. Emergencias, 201830(4):261-264.
[2]
中华医学会外科学分会,中国研究型医院学会感染性疾病循证与转化专业委员会,中华外科杂志编辑部. 外科常见腹腔感染多学科诊治专家共识 [J]. 中华外科杂志202159(3):161-178.
[3]
American College of Obstetricians and Gynecologists. Committee opinion No.723: guidelines for diagnostic imaging during pregnancy and lactation [J]. Obstet Gynecol2017130(4):e210-e216.
[4]
CODA Collaborative, Flum DR, Davidson GH, et al. A randomized trial comparing antibiotics with appendectomy for appendicitis [J]. N Engl J Med2020383(20):1907-1919.
[5]
Talan DA, Di Saverio S. Treatment of acute uncomplicated appendicitis [J]. N Engl J Med2021385(12):1116-1123.
[6]
Joo JI, Park HC, Kim MJ, et al. Outcomes of antibiotic therapy for uncomplicated appendicitis in pregnancy [J]. Am J Med, 2017130(12):1467-1469.
[7]
Baird DLH, Simillis C, Kontovounisios C, et al. Acute appendicitis [J]. BMJ2017357:1-6.
[8]
van Dijk ST, van Dijk AH, Dijkgraaf MG, et al. Meta-analysis of in-hospital delay before surgery as a risk factor for complications in patients with acute appendicitis [J]. Br J Surg2018105(8):933-945.
[9]
Pearl JP, Price RR, Tonkin AE, et al. SAGES guidelines for the use of laparoscopy during pregnancy [J]. Surg Endosc201731(10):3767-3782.
[10]
Society for Maternal-Fetal Medicine. SMFM consult series #47: sepsis during pregnancy and the puerperium [J]. Am J Obstet Gynecol2019220(4):B2-B10.
No related articles found!
阅读次数
全文


摘要


AI


AI小编
你好!我是《中华医学电子期刊资源库》AI小编,有什么可以帮您的吗?