切换至 "中华医学电子期刊资源库"

中华产科急救电子杂志 ›› 2012, Vol. 01 ›› Issue (01) : 37 -41. doi: 10.3877/cma.j.issn.2095-3259.2012.01.009

所属专题: 经典病例 文献

论著

剖宫产瘢痕妊娠27例诊治分析
刘玉昆1, 孟丽丽1, 刘梅兰1, 李维艳1, 陈立斌1, 张建平1,()   
  1. 1. 510210 广州,中山大学孙逸仙纪念医院妇产科
  • 收稿日期:2012-02-23 出版日期:2012-08-18
  • 通信作者: 张建平

Cesarean scar pregnancy analysis of 27 cases

Yu-kun LIU1, Li-li MENG1, Mei-lan LIU1, Wei-yan LI1, Li-bin CHEN1, Jian-ping ZHANG1,()   

  1. 1. Department of Obstetrics and Gynecology, Sun Yat-sen Memorial Hospital, Sun Yat-sen University, Guangzhou 510120, China
  • Received:2012-02-23 Published:2012-08-18
  • Corresponding author: Jian-ping ZHANG
  • About author:
    Corresponding author: ZHANG Jian-ping, E-mail:
引用本文:

刘玉昆, 孟丽丽, 刘梅兰, 李维艳, 陈立斌, 张建平. 剖宫产瘢痕妊娠27例诊治分析[J/OL]. 中华产科急救电子杂志, 2012, 01(01): 37-41.

Yu-kun LIU, Li-li MENG, Mei-lan LIU, Wei-yan LI, Li-bin CHEN, Jian-ping ZHANG. Cesarean scar pregnancy analysis of 27 cases[J/OL]. Chinese Journal of Obstetric Emergency(Electronic Edition), 2012, 01(01): 37-41.

目的

探讨剖宫产瘢痕妊娠(CSP)的合理诊治方法。

方法

回顾性分析2005年1月至2011年9月中山大学孙逸仙纪念医院收治的27例CSP患者的临床资料,对其病史、临床表现、辅助检查、诊断、处理及结局等进行总结分析。外院转入组与我院首次接诊组患者的孕次、产次、距末次剖宫产时间、停经天数、入院时HCG值的比较应用t检验,两组的开腹手术比例、包块型比例的比较应用卡方检验。

结果

27例患者中外院转入者13例,均在外院行药流或清宫术后,因反复阴道流血或突发性大量阴道流血转入我院;首次就诊我院者14例。我院首次接诊组与外院转入组比较,停经天数(57.1±17.8)d与(83.5±28.4)d,t=2.910;开腹手术比例(1例与7例),χ2=7.050;超声表现为包块型的比例(1例与13例),χ2=23.280;P值均<0.05。27例中行宫腔镜电切术7例,其中2例因术中出血较多,转为开腹手术。开腹行病灶切除加修补术8例,行清宫术9例,其中单纯行清宫2例,2例术中出现大出血而紧急子宫动脉化疗栓塞术(UACE),其他5例则用甲氨蝶呤(MTX)治疗或UACE后行清宫术。行UACE 14例,其中13例UACE联合清宫术或宫腔镜或术后MTX治疗。单纯MTX药物治疗2例。27例均治愈,无子宫切除病例。

结论

剖宫产瘢痕妊娠较少见,临床容易误诊,治疗应根据患者血HCG水平、病灶大小、部位、表面肌层厚度、血流、阴道流血情况等进行综合评价,选择个体化治疗方案,必要时几种治疗方法联合应用。

Objective

To investigate the suitable measures of diagnosis and treatment of cesarean scar pregnancy (CSP).

Methods

The clinical data of 27 patients with CSP in Sun Yat-sen Memorial Hospital from 2005 to 2011, including disease history, clinical presentation, the process of diagnosis and treatment and the outcome of patients were analyzed retrospectively. The gravidity, parity, duration since prior cesarean section, menopause days and HCG level between two groups were compared using Student's t test. Case of laparotomy and case of mass type found by ultrasound between two groups were compared using Chi-Square test.

Results

Among 27 cases, 13 cases were transferred to our hospital because of incontrollable vaginal bleeding. Other 14 cases were treated in our hospital firstly. Menopause days (57.1±17.8) vs (83.5±28.4), t=2.910; laparotomy (1 vs 7, χ2=7.05); case of mass type found by ultrasound (1 vs 13, χ2=3.28); all P<0.05. Among the 27 cases, hysteroscopy electro-resection was applied in 7 cases, and 2 cases performed laparotomy due to more bleeding. Eight patients were treated by local resection and uterine repair by laparotomy. Curettage was applied in 9 cases, 2 cases of which underwent uterine artery chemoembolism(UACE) due to the severe vaginal bleeding. Five cases of which underwent curettage after MTX treatment or UACE. UACE was applied in 14 patients, 13 cases of which were combined with curettage or hysteroscopy or MTX treatment. MTX without other treatments was applied in 2 cases. 27 patients were cured successfully without any case of hysterectomy.

Conclusions

CSP is rare and usually misdiagnosed. The treatment of CSP should be based on blood HCG levels and lesion size, location, muscle thickness of surface, blood flow and vaginal bleeding. Individual therapy is recommended. Combined treatment may be needed in some conditions.

表1 剖宫产瘢痕妊娠首次接诊组与外院转入组临床特点比较
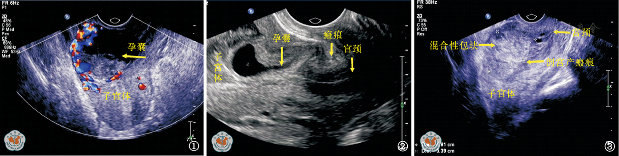
图3 剖宫产瘢痕妊娠包块型 超声检查提示,子宫前壁下段瘢痕处混合性包块,4.8 cm×3.4 cm大小
[1]
Seow KM, Huang LW, Lin YH, et al. Cesarean scar pregnancy: issues in management. Ultrasound Obstet Gynecol, 2004,23(3):247-253.
[2]
Ash A, Smith A, Maxwell D. Cesarean scar pregnancy. BJOG, 2007,114(3):253-263.
[3]
Rotas MA, Habeman S, levgur M. Cesarean scar ectopic pregnancies: etiology, diagnosis, and management. Obstet Gynecol, 2006,107(6):1373-1381.
[4]
袁岩,戴晴,蔡胜,等.超声对剖宫产瘢痕妊娠的诊断价值.中华超声影像学杂志,2010,19(4):321-324.
[5]
任彤,赵峻,万希润,等.剖宫产瘢痕妊娠的诊断与处理.现代妇产科进展,2007,16(6):433-436.
[6]
Haimov-Kochman R, Sciaky-Tamir Y, Yanai N, et al. Conservative management of two ectopic pregnancies in previous uterine scars. Ultrasound Obstet Gynecol, 2002,19(6):616-619.
[7]
Li H, Guo HY, Han JS, et al. Endoscopic treatment of ectopic pregnancy in a cesarean scar. J Minim Invasive Gynecol, 2011,18(1):31-35.
[8]
Yang XY, Yu H, Li KM, et al. Uterine artery embolisation combined with local methotrexate for treatment of cesarean scar pregnancy. BJOG, 2010,117(8):990-996.
[9]
韩肖燕,向阳,冯凤芝,等.腹腔镜治疗剖宫产瘢痕妊娠4例临床分析.中国实用妇科与产科杂志,2009,25(3):239-240.
[10]
He M, Chen MH, Xie HZ, et al. Transvaginal removal of ectopic pregnancy tissue and repair of uterine defect for sesarean scar pregnancy. BJOG, 2011,118(9):1136-1139.
[1] 王亚红, 蔡胜, 葛志通, 杨筱, 李建初. 颅骨骨膜窦的超声表现一例[J/OL]. 中华医学超声杂志(电子版), 2024, 21(11): 1089-1091.
[2] 唐金侨, 叶宇佳, 王港, 赵彬, 马艳宁. 医学影像学检查方法在颞下颌关节紊乱病中临床应用研究进展[J/OL]. 中华口腔医学研究杂志(电子版), 2024, 18(06): 406-411.
[3] 李华志, 曹广, 刘殿刚, 张雅静. 不同入路下行肝切除术治疗原发性肝细胞癌的临床对比[J/OL]. 中华普外科手术学杂志(电子版), 2025, 19(01): 52-55.
[4] 屈翔宇, 张懿刚, 李浩令, 邱天, 谈燚. USP24及其共表达肿瘤代谢基因在肝细胞癌中的诊断和预后预测作用[J/OL]. 中华普外科手术学杂志(电子版), 2024, 18(06): 659-662.
[5] 许月芳, 刘旺, 曾妙甜, 郭宇姝. 多粘菌素B和多粘菌素E治疗外科多重耐药菌感染临床疗效及安全性分析[J/OL]. 中华普外科手术学杂志(电子版), 2024, 18(06): 700-703.
[6] 熊鹰, 林敬莱, 白奇, 郭剑明, 王烁. 肾癌自动化病理诊断:AI离临床还有多远?[J/OL]. 中华腔镜泌尿外科杂志(电子版), 2024, 18(06): 535-540.
[7] 王秋生. 胆道良性疾病诊疗策略[J/OL]. 中华肝脏外科手术学电子杂志, 2024, 13(06): 779-782.
[8] 袁雨涵, 杨盛力. 体液和组织蛋白质组学分析在肝癌早期分子诊断中的研究进展[J/OL]. 中华肝脏外科手术学电子杂志, 2024, 13(06): 883-888.
[9] 中华医学会器官移植学分会. 肝移植术后缺血性胆道病变诊断与治疗中国实践指南[J/OL]. 中华肝脏外科手术学电子杂志, 2024, 13(06): 739-748.
[10] 郑大雯, 王健东. 胆囊癌辅助诊断研究进展[J/OL]. 中华肝脏外科手术学电子杂志, 2024, 13(06): 769-773.
[11] 李浩, 陈棋帅, 费发珠, 张宁伟, 李元东, 王硕晨, 任宾. 慢性肝病肝纤维化无创诊断的研究进展[J/OL]. 中华临床医师杂志(电子版), 2024, 18(09): 863-867.
[12] 谭瑞义. 小细胞骨肉瘤诊断及治疗研究现状与进展[J/OL]. 中华临床医师杂志(电子版), 2024, 18(08): 781-784.
[13] 王子阳, 王宏宾, 刘晓旌. 血清标志物对甲胎蛋白阴性肝细胞癌诊断的研究进展[J/OL]. 中华临床医师杂志(电子版), 2024, 18(07): 677-681.
[14] 陈慧, 邹祖鹏, 周田田, 张艺丹, 张海萍. 皮肤镜对头皮红斑性皮肤病辅助鉴别诊断的研究进展[J/OL]. 中华临床医师杂志(电子版), 2024, 18(07): 692-698.
[15] 胡云鹤, 周玉焯, 付瑞瑛, 于凡, 李爱东. CHS-DRG付费制度下GB1分组住院费用影响因素分析与管理策略探讨[J/OL]. 中华临床医师杂志(电子版), 2024, 18(06): 568-574.
阅读次数
全文


摘要


AI


AI小编
你好!我是《中华医学电子期刊资源库》AI小编,有什么可以帮您的吗?